Để hiểu rõ hơn về các loại bệnh nấm ngoài da thường gặp trong mùa mưa cũng như cách phòng tránh, bài viết dưới đây sẽ phân tích chi tiết các nguyên nhân, biểu hiện và biện pháp phòng ngừa hiệu quả nhằm bảo vệ sức khỏe làn da trong mùa ẩm ướt.
Vì sao mùa mưa dễ gây nhiễm nấm?
Trong điều kiện khí hậu nóng ẩm, đặc biệt là mùa mưa, môi trường xung quanh trở nên ướt át, bí bách. Nấm vốn là loại vi sinh vật ưa thích sự ấm áp và ẩm ướt, vì vậy chúng dễ dàng sinh sôi trên quần áo, giày dép, khăn tắm, đồ dùng cá nhân hoặc trực tiếp trên da người. Khi tiếp xúc lâu với quần áo ướt, giày dép không khô thoáng hoặc vệ sinh cá nhân kém, da bị tổn thương và tạo điều kiện cho nấm xâm nhập, gây ra nhiều bệnh ngoài da khó chịu.
Những khu vực dễ bị nhiễm nấm nhất thường là đùi trong, bẹn, nách, da đầu, bàn chân, móng tay, móng chân – nơi thường xuyên bị ẩm ướt và khó khô ráo hoàn toàn trong mùa mưa. Ngoài ra, người có sức đề kháng yếu, người mắc bệnh tiểu đường, người sử dụng corticoid lâu dài hoặc hóa trị cũng dễ bị nhiễm nấm hơn.
Các bệnh ngoài da do nấm phổ biến trong mùa mưa
Mùa mưa là thời điểm bệnh viêm da tiết bã dễ bùng phát, đặc biệt ở những người có tiền sử chàm hoặc viêm da cơ địa. Độ ẩm cao làm tuyến bã nhờn hoạt động mạnh, kết hợp với vi khuẩn và nấm men phát triển gây viêm, bong vảy, đỏ da, ngứa ngáy khó chịu, nhất là ở da đầu, mặt, ngực và lưng trên.
Còn gọi là bệnh nấm kẽ chân, thường xuất hiện giữa các ngón chân, lòng bàn chân và móng chân. Bàn chân bí bách trong giày ướt, tất không khô hoặc môi trường ẩm thấp chính là “ổ” để nấm phát triển. Bệnh gây ngứa, nứt nẻ, bong tróc, thậm chí rỉ dịch ở các kẽ chân.
Nấm móng dễ phát triển khi móng chân, móng tay bị ướt kéo dài hoặc vệ sinh không sạch sẽ. Biểu hiện bao gồm móng dày, giòn, đổi màu vàng hoặc nâu, dễ vỡ vụn, đôi khi gây đau hoặc sưng viêm quanh móng.
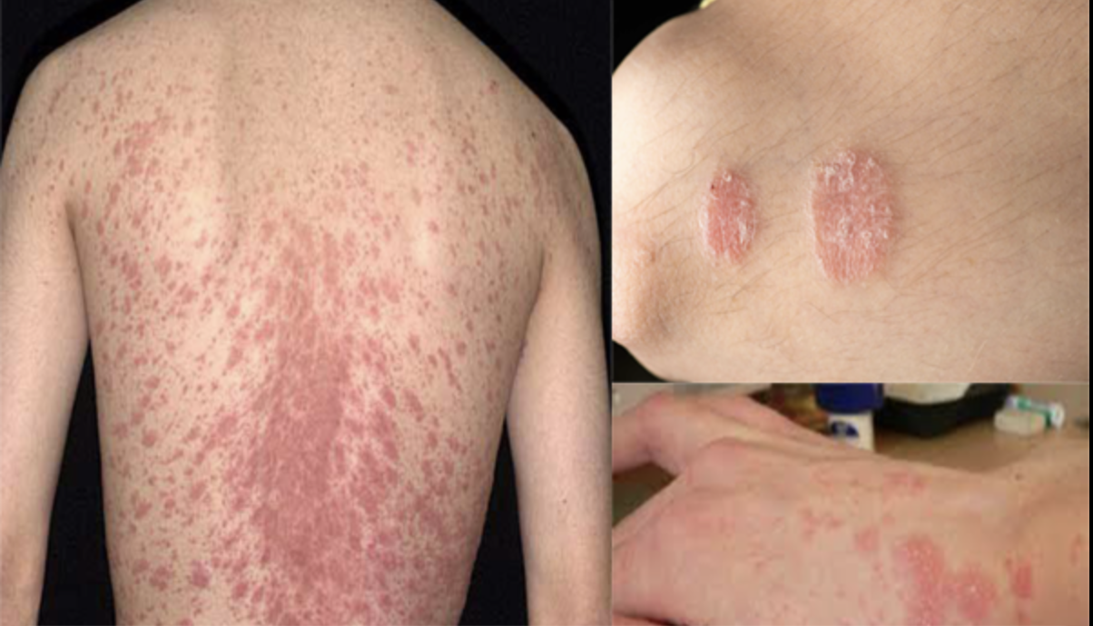
Hắc lào thường ảnh hưởng đến da vùng bẹn, đùi, nách, cổ, mông. Các tổn thương xuất hiện dưới dạng mảng đỏ, hình tròn, viền nổi, ngứa dữ dội, đôi khi kèm bong vảy hoặc mụn nước. Mặc quần áo bó sát, quần áo ướt hoặc vệ sinh không đảm bảo là các yếu tố thuận lợi gây bệnh.
Loại nấm này thường xuất hiện ở trẻ em, nhưng người lớn cũng có thể mắc phải. Bệnh khởi phát từ nang tóc, lan rộng ra toàn bộ da đầu, gây gãy tóc, rụng tóc, viêm da đầu, thậm chí tạo mảng hói. Đặc biệt, bệnh có thể lây lan qua việc dùng chung lược, mũ, khăn tắm hoặc các vật dụng chăm sóc tóc.

Vệ sinh cá nhân hàng ngày, tắm rửa bằng xà phòng diệt khuẩn, lau khô người kỹ lưỡng sau khi đi mưa hoặc đổ mồ hôi. Đặc biệt chú ý các vùng kẽ ngón tay, ngón chân, nách, bẹn, nơi dễ đọng nước.
Chọn quần áo rộng rãi, chất liệu thấm hút mồ hôi tốt như cotton. Hạn chế mặc quần áo bó sát hoặc chất liệu tổng hợp bí bách, dễ giữ ẩm. Giặt giũ và phơi khô quần áo hoàn toàn trước khi mặc.
Không đi giày ướt, hạn chế mang giày bít kín trong thời gian dài. Thường xuyên thay tất, lau khô bàn chân, đặc biệt là kẽ chân. Nếu giày dép bị ẩm, cần phơi khô hoặc sấy trước khi sử dụng.
Cắt tỉa móng gọn gàng, vệ sinh móng thường xuyên. Tránh để móng quá dài, tạo điều kiện cho bụi bẩn và vi khuẩn tích tụ.
Tránh dùng chung lược, khăn tắm, mũ, giày dép, quần áo với người khác để hạn chế lây lan nấm.
Duy trì chế độ ăn uống lành mạnh, bổ sung vitamin, khoáng chất từ rau củ, trái cây, ngũ cốc, protein nạc. Nghỉ ngơi hợp lý, tránh thức khuya và tập thể dục đều đặn để nâng cao sức đề kháng, giảm nguy cơ nhiễm nấm.

Nếu phát hiện các triệu chứng nghi ngờ nhiễm nấm như ngứa ngáy kéo dài, mẩn đỏ, bong tróc da, sưng đau quanh móng hoặc rụng tóc bất thường, cần đến thăm khám tại các cơ sở y tế chuyên khoa. Việc tự ý mua thuốc bôi hoặc thuốc uống có thể không điều trị dứt điểm, thậm chí làm bệnh nặng thêm. Các phòng khám da liễu uy tín với đội ngũ bác sĩ chuyên môn cao sẽ chẩn đoán chính xác loại nấm, mức độ nhiễm và chỉ định phác đồ điều trị phù hợp, giúp tránh tái phát hoặc biến chứng nguy hiểm.
Mùa mưa không chỉ mang đến sự mát mẻ, dễ chịu mà còn đòi hỏi sự quan tâm đặc biệt đến sức khỏe làn da. Thực hiện tốt các biện pháp phòng ngừa nhiễm nấm là cách bảo vệ bản thân và gia đình khỏi những rắc rối không đáng có. Mỗi bước nhỏ trong sinh hoạt hằng ngày, từ giữ vệ sinh cá nhân, chăm sóc quần áo, giày dép, đến chế độ dinh dưỡng hợp lý, đều góp phần quan trọng trong việc duy trì làn da khỏe mạnh.
Chủ động phòng ngừa, thăm khám kịp thời khi cần thiết và chọn các phòng khám chuyên khoa uy tín chính là chìa khóa giúp bảo vệ sức khỏe làn da suốt mùa mưa dài. Giữ cơ thể khô ráo, duy trì thói quen sinh hoạt lành mạnh và luôn đi trước một bước trong công cuộc chống lại nhiễm nấm để tận hưởng mùa mưa trọn vẹn, khỏe mạnh và an toàn.
Trứng là nguồn thực phẩm giá rẻ và giàu dinh dưỡng nhưng hàm lượng cholesterol trong trứng luôn là vấn đề gây băn khoăn. Liệu việc duy trì thói quen ăn trứng hàng ngày có ảnh hưởng tiêu cực đến sức khỏe tim mạch như nhiều người lo ngại?
Natri có trong muối ăn và nhiều loại gia vị khác nhau; chúng cần được kiểm soát trong các bệnh thận, tăng huyết áp và các vấn đề về tim mạch. Kiểm soát nước sốt và gia vị giúp duy trì lượng natri dưới mức giới hạn 2.300 miligam (mg) mỗi ngày, tương đương khoảng một thìa cà phê muối theo các khuyến nghị Y tế.
Phản ứng viêm là một quá trình sinh học đa bước, đòi hỏi sự can thiệp từ nhiều nhóm hợp chất khác nhau để đạt được hiệu quả điều hòa tối ưu. Từ khả năng làm giảm giải phóng histamine của La hán quả đến tác động ức chế nitric oxide của Hạ khô thảo và đặc tính chống oxy hóa mạnh mẽ của Curcumin trong Nghệ, các thảo dược đang chứng minh vai trò quan trọng trong việc duy trì ổn định nội môi.
Mất ngủ khi mang thai không chỉ là nỗi lo về sức khỏe mà còn làm giảm chất lượng cuộc sống của mẹ bầu. Hiểu rõ nguyên nhân và áp dụng đúng các giải pháp hỗ trợ sẽ giúp mẹ cải thiện giấc ngủ nhanh chóng.
Tết Nguyên Đán là khoảng thời gian quan trọng trong văn hóa người Việt, nhưng cũng là thời điểm gây ra những xáo trộn lớn về nhịp sinh học, chế độ dinh dưỡng và thói quen vận động. Những thay đổi đột ngột này dẫn đến hội chứng "mệt mỏi hậu kỳ nghỉ", làm suy giảm hệ miễn dịch và gia tăng nguy cơ tái phát các bệnh lý mạn tính.
Thực tế một số trường hợp vô sinh hoặc chậm có thai khi đi khám phát hiện mắc u xơ tử cung. Vậy có phải tất cả bệnh nhân mắc u xơ tử cung đều khó có thai hay không?
Năm mới là thời điểm lý tưởng để bắt đầu hành trình cải thiện sức khỏe và vóc dáng thông qua việc xây dựng một kế hoạch tập luyện khoa học. Việc tập luyện không chỉ giúp tăng cường sức mạnh cơ bắp, cải thiện sức bền tim mạch mà còn mang lại lợi ích lâu dài như giảm nguy cơ bệnh tật, nâng cao chất lượng cuộc sống và cải thiện tâm trạng. Tuy nhiên, để đạt được mục tiêu sức khỏe, việc thiết lập một kế hoạch cụ thể, phù hợp với nhu cầu cá nhân và duy trì thói quen tập luyện là điều tối quan trọng. Bài viết này sẽ hướng dẫn bạn cách lập kế hoạch tập luyện hiệu quả, từ việc xác định mục tiêu đến cách duy trì động lực lâu dài.
Thực phẩm ôi thiu, nhiễm bẩn, kém vệ sinh là một trong những nguyên nhân chính gây ra các bệnh đường tiêu hóa, ung thư, dậy thì sớm, thai dị tật... và gây nhiều hệ lụy lâu dài cho sức khoẻ.